2322 196th St. SW, Suite 201 Lynnwood, WA 98036

Jaw Development Orthodontics

Airway Centered Expert in Lynnwood near Bothell, Mill Creek, Brier, and Mountlake Terrace

Newer research has shown that jaw development treatment strategies like Jaw Development Orthodontics can positively affect the airway and sleep breathing. For example, in children, early arch development (expansion) strategies have been shown to consistently improve sleep breathing problems.

For adults, we know with very robust medical evidence that custom oral appliances that advance the Mandible (lower jaw) forward can treat a range of sleep apnea problems.

Like an oral appliance, the Jaw Development Orthodontics that Dr. Buck uses stimulates remodeling of both jaws in a face-forward manner. When both jaws are safely and gently remodeled forward the tongue can move forward out of the airway as there is more volume for the tongue inside the mouth. The arch widening that follows in ControlledArchR orthodontic system completes the transformation and allows even more room for the tongue to comfortably rest in the palate, and not remain pushed back into the airway.

Another valid comparison to Jaw Development Orthodontics is research that has shown that jaw surgery for sleep apnea that moves both jaws forward has a consistent and sustained reduction or elimination of sleep apnea as evidenced by sleep studies many years after surgery. Jaw Development Orthodontics creates a similar effect by non-surgically developing both jaws forward and thus can have a positive effect on the airway.

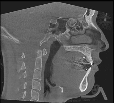
Face forward jaw remodeling
Pretreatment airway
Posttreatment airway
Skeletal Maxillary transverse expansion increases nasal airflow significantly

Jaw Development Orthodontics stimulates remodeling of the entire Nasomaxillary complex (midface) This has the effect of opening the airway at all levels. Patients consistently report while in Jaw Development Orthodontics, they can breathe better through the nose and consistently report reduced snoring and better sleep. Dr. Buck has many cases of his patients being able to stop using CPAP for sleep. We however cannot guarantee any particular outcome for a sleep disordered breathing condition (eg OSA), but Dr. Buck plans for a sleep appliance after orthodontic treatment completion if needed that also serves as a retainer that can further improve sleep breathing for those that need additional support of the airway during sleep after Jaw Development Orthodontics treatment.

Finally, good recent research has shown that myofunctional therapy that strengthens the tongue to correctly rest in the palate along with competent lip seal and patent nasal breathing during sleep all work together to stabilize the lower jaw more forward and keep the tongue from sliding back and improve the muscular tone of the upper airway. Research has shown that myofunctional treatments alone can reduce sleep apnea by 50% in adults, and over 50% in children. [5] Fortunately, Dr. Buck and his team fully embrace myofunctional therapies including tongue tie release, and he incorporates this into all orthodontic treatments. By combining epigenetic jaw development treatments with myofunctional therapy we enhance the possibility of healthy sleep breathing.

We welcome you to learn more about the amazing life-changing results of epigenetic orthodontics, from the elimination of chronic pain, to the cosmetic face-life effects, to the restful nights’ sleep free of snoring and sleep apnea. No, this is not orthodontics like your parents had. Epigenetic orthodontics is about a lifetime of health and a beautiful smile!

What is Jaw Development Orthodontics?

Jaw Development Orthodontics is a treatment strategy that stimulates the remodeling of both jaws in a face-forward manner, improving the airway and sleep breathing. It involves expanding the jaw arches to create more room for the tongue, reducing snoring, and enhancing sleep quality.

How does Jaw Development Orthodontics help with sleep apnea?

Jaw Development Orthodontics can help treat sleep apnea by moving the jaws forward, similar to the effect of oral appliances and jaw surgery. This forward movement opens the airway, allowing for better airflow and reducing or eliminating sleep apnea symptoms.

What benefits do patients experience with Jaw Development Orthodontics?

Patients undergoing Jaw Development Orthodontics often report improved nasal breathing, reduced snoring, better sleep quality, and in some cases, the ability to stop using CPAP machines. It can also have cosmetic benefits and help alleviate chronic pain.

How does Jaw Development Orthodontics compare to traditional orthodontics?

Jaw Development Orthodontics differs from traditional orthodontics by focusing on the forward remodeling of both jaws to improve airway function and sleep breathing. It combines epigenetic jaw development treatments with myofunctional therapy, providing long-term health benefits beyond just straightening teeth.

What is myofunctional therapy and how does it relate to Jaw Development Orthodontics?

Myofunctional therapy involves exercises to strengthen the tongue and improve its resting position, along with ensuring proper lip seal and nasal breathing during sleep. This therapy works in conjunction with Jaw Development Orthodontics to stabilize the jaw and enhance airway function, further reducing sleep apnea symptoms.

Can Jaw Development Orthodontics eliminate the need for a CPAP machine?

While many patients have been able to stop using CPAP machines after undergoing Jaw Development Orthodontics, individual results may vary. Dr. Buck plans for a sleep appliance after orthodontic treatment completion if additional support is needed for the airway during sleep.

What makes epigenetic orthodontics different from traditional orthodontics?

Epigenetic orthodontics focuses on the overall health and function of the airway, in addition to providing a beautiful smile. It combines jaw development treatments with myofunctional therapy to enhance sleep breathing, alleviate chronic pain, and improve facial aesthetics, offering a lifetime of health benefits.

Footnotes:
  1. Ashok N, Varma NK, Ajith VV, Gopinath S. Effect of rapid maxillary expansion on sleep characteristics in children.
    Contemp Clin Dent. 2014;5(4):489-494. doi:10.4103/0976-237X.142817
  2. Yafen Zhu, Hu Long, Fan Jian, Jianchang Lin, Jingyi Zhu, Meiya Gao, Wenli Lai,The effectiveness of oral appliances for obstructive sleep apnea syndrome: A meta-analysis,
    Journal of Dentistry,Volume 43, Issue 12,2015,Pages 1394-1402,ISSN 0300-5712
  3. Singh and Cress. J Sleep Disord Manag 2017, 3:014
    Volume 3 | Issue 1
  4. Long-Term Effectiveness and Safety of Maxillomandibular Advancement for Treatment of Obstructive Sleep Apnea, Scott B. Boyd, DDS, PhD; Arthur S. Walters, MD; Peter Waite, DDS, MD, MPH; Susan M. Harding, MD; Yanna Song, MS. Journal Clinical Sleep Medicine
    July 15, 2015
  5. Camacho M, Certal V, Abdullatif J, et al. Myofunctional Therapy to Treat Obstructive Sleep Apnea: A Systematic Review and Meta-analysis. Sleep. 2015;38(5):669-675.
    Published 2015 May 1. doi:10.5665/sleep.4652